Av Canillejas a Vicalvaro 91 (Madrid) | 91 990 62 22 | 662 52 78 39

Nanodent Digital Lab es un Laboratorio CAD/CAM con profesionales de más de 30 años de experiencia en la fabricación de prótesis dentales fijas, funcionales y estéticas; haciendo uso de las tecnologías mundiales más avanzadas y de materiales con los más altos estándares de calidad, asegurando a nuestros clientes bio-compatibilidad, durabilidad, precisión y belleza en la ejecución del tratamiento para cada uno de sus pacientes.
CAD/CAM
CALIDAD
SERVICIO INTEGRAL
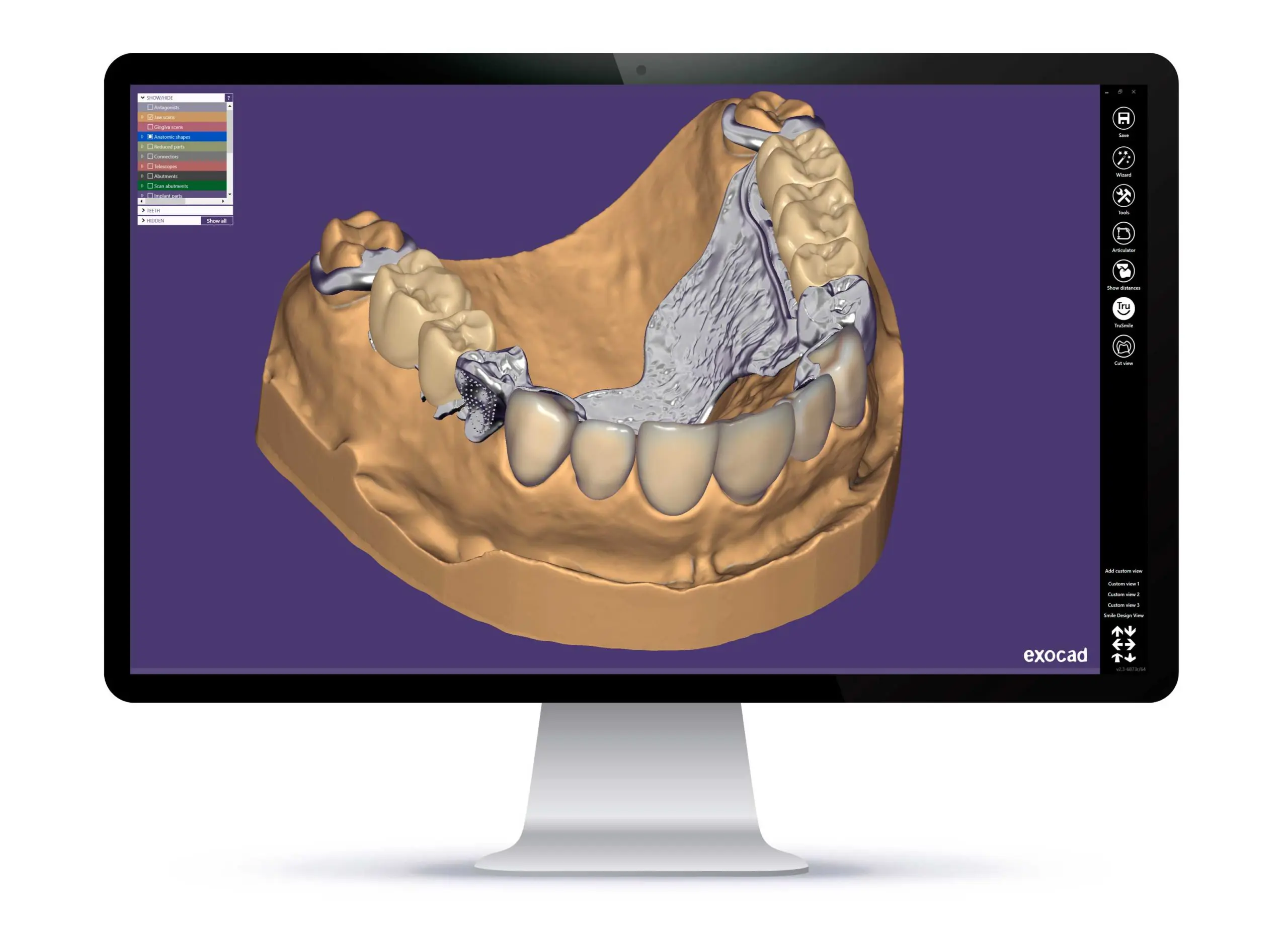
DISEÑO 3D
Si dispones de escaner intraoral nos envías el archivo STL y las fotos del paciente, que no tienes escáner, sin problema, te recogemos los modelos e impresiones y nos ocupamos nosotros de digitalizarlo.


Con los más avanzados programas de Diseño en 3D, evaluamos la estética dentaria y de la cara, planificamos con el Odontólogo y así os presentamos una excelente propuesta de restauración.
El diseño se envía a la unidad de fresado mediante software informáticos que están perfectamente coordinados, consiguiendo un fresado del diseño extremadamente preciso. Lo «mejor de» las prótesis dentales creadas digitalmente, es el trabajo armonizado de todos los componentes de CAD/CAM de inLab, que unido a la interacción perfecta entre el dentista, el técnico dental y el paciente se consigue garantizar una calidad y ajuste excelente en todo tipo de restauraciones.



Utilizamos materiales con los más altos estándares de calidad que unido a los procesos manuales para la definición, detalle y coloración aseguran a nuestros clientes bio-compatibilidad, durabilidad, precisión y belleza.




ZIRCONIO MONOLÍTICO
|
|
|

METAL CERÁMICA
|
|
|
|

CARILLAS EMAX CAD/CAM
|
|
|
|